Logopedist en OMFT
|
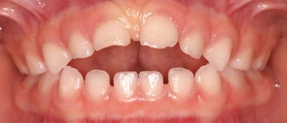
Afwijkende mondgewoonten Afwijkende mondgewoonten, zoals duimen, speengebruik of mondademhaling, kunnen grote gevolgen hebben voor de ontwikkeling van het gebit en het gezicht. Wat in eerste instantie een onschuldige en soms zelfs schattige gewoonte lijkt, verstoort de spierbalans in de mond. Dit heeft invloed op de ontwikkeling van het aangezicht en de kaakgroei. Veel scheve tandstanden, die operatief of met een beugel behandeld moeten worden, zijn veroorzaakt door afwijkend mondgedrag. Het probleem gaat vaak niet vanzelf over en kan later zelfs leiden tot terugval na een orthodontische behandeling. De gevolgen zijn verstrekkend: van scheve tanden tot vernauwde luchtwegen, een zogenaamde ‘computernek’, een lang en onaantrekkelijk uitziend gezicht, donkere kringen onder de ogen, een ingetrokken kin en scheve rugstand. OMFT behandeling Omdat kinderen snel groeien en zich ontwikkelen, kunnen wij in hun vroege jaren de meeste potentie voor optimale kaakgroei benutten. Door de oorzaak – afwijkend mondgedrag – te stoppen en de balans van de mondspieren te verbeteren, zal de groei van de kaken zich vanzelf herstellen. Rond de leeftijd van 12 jaar, wanneer de meeste orthodontische behandelingen pas kunnen beginnen, is de kaakgroei vaak al te ver gevorderd om in breedte verder te ontwikkelen. Daarom worden er vaak gezonde blijvende kiezen getrokken om ruimte te creëren voor andere tanden en kiezen in de smalle kaken. Mondspieren kunnen net als andere spieren in ons lichaam getraind worden. De lippen, tong en wangen oefenen de hele dag door krachten uit op onze kaken, tanden en kiezen. Wanneer deze krachten goed in balans zijn – niet te sterk en niet te slap – drukken ze op de juiste plekken met de juiste druk tegen het gebit. Dit heeft dezelfde werking als een beugel, maar dan op een natuurlijke manier en niet beperkt tot alleen de tanden. Deze aanpak heet OMFT (Oral Myofunctional Therapy) Logopedisten helpen kinderen met deze training. Zij geven oefeningen voor de lippen en de tong, helpen bij het aanleren van de juiste slikbeweging en bieden tips om van slechte gewoontes af te komen. Vaak wordt er ook een mondtrainer ingezet, zoals bijvoorbeeld de Myobrace. Mondtrainer De Myobrace wordt aangemeten door de tandarts of mondhygiënist in onze praktijk. Beide hebben een speciale training gevolgd in OMFT (Oral Myofunctional Therapy) en het gebruik van de Myobrace. De tandarts of mondhygiënist controleert maandelijks de voortgang met de Myobrace en maakt elke drie maanden mondfoto's om de veranderingen vast te leggen. De logopedist begeleidt het kind parallel met de oefeningen. Afspraak maken met logopedist Wanneer uw kind wordt doorverwezen naar de logopedist, maakt u zelf een afspraak met logopedie praktijk Oostzaan. Wij hebben samenwerkings afspraken gemaakt met deze praktijk en verwijzen alle OMFT patienten daar naar toe. Meld u aan voor logopedie via de website: https://logopediepraktijkoostzaan.nl/contact/ |
|



